This patient had a hard time with her removable dentures for more than 10 years. Now she is very happy with implant-supported fixed bridges.
This patient lost his teeth because of periodontal disease. They were restored with implant-supported crowns.
Patient had a periodontal infection and lost his front tooth. It was removed and restored with an implant-supported ceramic crown.
Two front discolored teeth were restored with Cerec crowns. It took 2 hours. They are beautiful and strong.
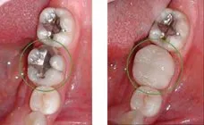
An old Amalgam filling was replaced with a Ceramic crown (Cerec). It took only 1 hour to finish. Cerec crowns are beautiful and strong.They are 100% natural material.
Upper 4 old crowns were replaced with Cerec, e max crowns. It took 3 hours and everything was completed in a same day. They are beautiful and very strong.
Patient fell down and upper 3 teeth were damaged. Two teeth were restored in 3 hours, same day with Ceramic crowns (Cerec). One tooth was restored with composite resin. We took a picture after 3 weeks.
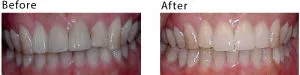
Gingival tissue and upper 4 front teeth were adjusted esthetically. Front 4 teeth were restored with Ceramic crowns (Cerec).
Patient had a bicycle accident. His fractured teeth were restored in one visit using our CAD/CAM Cerec technique. He was able to go back to work on the same day.

This patient is very happy with a beautiful implant-supported ceramic crown.