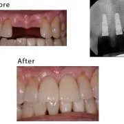
case-studies Case #3 This patient lost his teeth because of periodontal disease. They were restored with implant-supported crowns.February 26, 2024/by Rich https://sunnyvaledentalspecialty.com/wp-content/uploads/2018/08/blog2.jpg 512 614 Rich https://sunnyvaledentalspecialty.com/wp-content/uploads/2017/03/logo.png Rich2024-02-26 12:31:502024-05-02 11:09:46Case #3