COSMETIC DENTISTRY, TEETH WHITENING, DENTAL VENEERS, COSMETIC DENTIST
Serving San Jose, Sunnyvale, Santa Clara, Palo Alto, Mountain View, Saratoga, Los Altos, & Campbell
Thanks to Advances in modern dental materials and techniques, Dr. Hong can help you attain the smile you’ve always wanted. The contour, color and alignment of your teeth can be changed by such cosmetic dentistry techniques as dental veneers, bonding and crowns.

Before: The fragility of the composition reflects more from the absence of proportionate relationships than from an apparent pathologic structure.

After: The restoration of proportionate relationships gives strength to a composition and produces peaceful appearance and harmony.

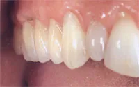
Before: Although flaring or divergent teeth may well reach an equilibrium according to the principal of balance of lines, they still generate visual tension. This type of composition looks unstable, interfering with the field of forces that are present in the structure of the mouth.

After: The restoration of proper axial alignment of anterior teeth is prerequisite to providing esthetic equilibrium and occlusal stability.

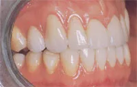
Before: Ideal but unnatural front-back progression

After: Satisfactory restoration of a natural front-back progression.

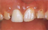
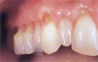
Before: An absence of hygiene has favored an accumulation of deposits and dental plaque and produced periodontal inflammation and decay.

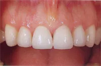
After: The patient’s motivation, initial periodontal therapy, and provisional stabilization have contributed to the restoration of tissue health. The undertaking of necessary restorative procedures can be envisaged.

Before: Left side view of worn cusps before treatment.

After: Left side view of rejuvenated cusps after treatment.

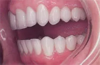
Before: Pretreatment profile appearance of the maxillary and mandibular dentition.

After: The patient has received eight maxillary and six mandibular porcelain veneers. Note the lack of over-contouring, the unseen margins, and the striking color change.

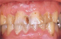
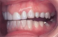
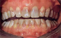
Before: Appearance of a severe tetracycline-stained case before placement of eight maxillary and six mandibular porcelain veneers.

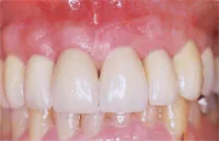
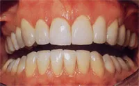
After: Note the dramatic color shift, the favorable soft tissue response, and the polychromatic color in the madibular anterior porcelain veneers.
Stain Removal – the brightness of your smile may be adversely affected by certain foods and beverages that can stain your teeth, such as:
- tobacco products
- coffee
- tea
- red wine
- colored juices
- curry
- soy
- minerals in well water
- cola drinks
Most stains can be removed or reduced by professional cleaning in our office.
To keep a healthy, bright smile, daily care is a must. Regular brushing, flossing and visits to your dentist will minimize your risk of tooth decay and gum disease.
