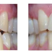
case-studies Case #10 Patient had a bicycle accident. His fractured teeth were restored in one visit using our CAD/CAM Cerec technique. He was able to go back to work on the same day.February 19, 2024/by Rich https://sunnyvaledentalspecialty.com/wp-content/uploads/2018/08/blog6.jpg 200 800 Rich https://sunnyvaledentalspecialty.com/wp-content/uploads/2017/03/logo.png Rich2024-02-19 12:36:252024-05-02 11:10:38Case #10