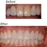
case-studies Case #5 Two front discolored teeth were restored with Cerec crowns. It took 2 hours. They are beautiful and strong.February 24, 2024/by Rich https://sunnyvaledentalspecialty.com/wp-content/uploads/2018/08/Untitled-2.jpg 491 462 Rich https://sunnyvaledentalspecialty.com/wp-content/uploads/2017/03/logo.png Rich2024-02-24 12:32:092024-05-02 11:10:00Case #5