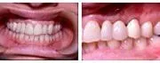
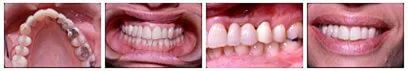
A 32 year old woman lost her upper left lateral incisor and canine because of trauma. One Branemank implant was placed in the canine area. A fixed crown and bridge were made with a non-ridged connector with the natural tooth.
A 32 year old woman lost her upper left lateral incisor and canine because of trauma. One Branemank implant was placed in the canine area. A fixed crown and bridge were made with a non-ridged connector with the natural tooth.
Case #5