Patient had a bicycle accident. The fractured teeth were restored in one visit, using the CAD/CAM Cerec technique. He could go back to work the same day.
Patient had a bicycle accident. The fractured teeth were restored in one visit, using the CAD/CAM Cerec technique. He could go back to work the same day.
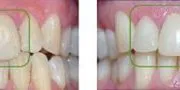
Case #4