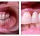
A 43 year old woman lost her right lateral incisor because of a fracture. After six months healing and tissue remodeling with a temporary crown, a permanent porcelain crown was made using one single implant.
A 43 year old woman lost her right lateral incisor because of a fracture. After six months healing and tissue remodeling with a temporary crown, a permanent porcelain crown was made using one single implant.
Case #6